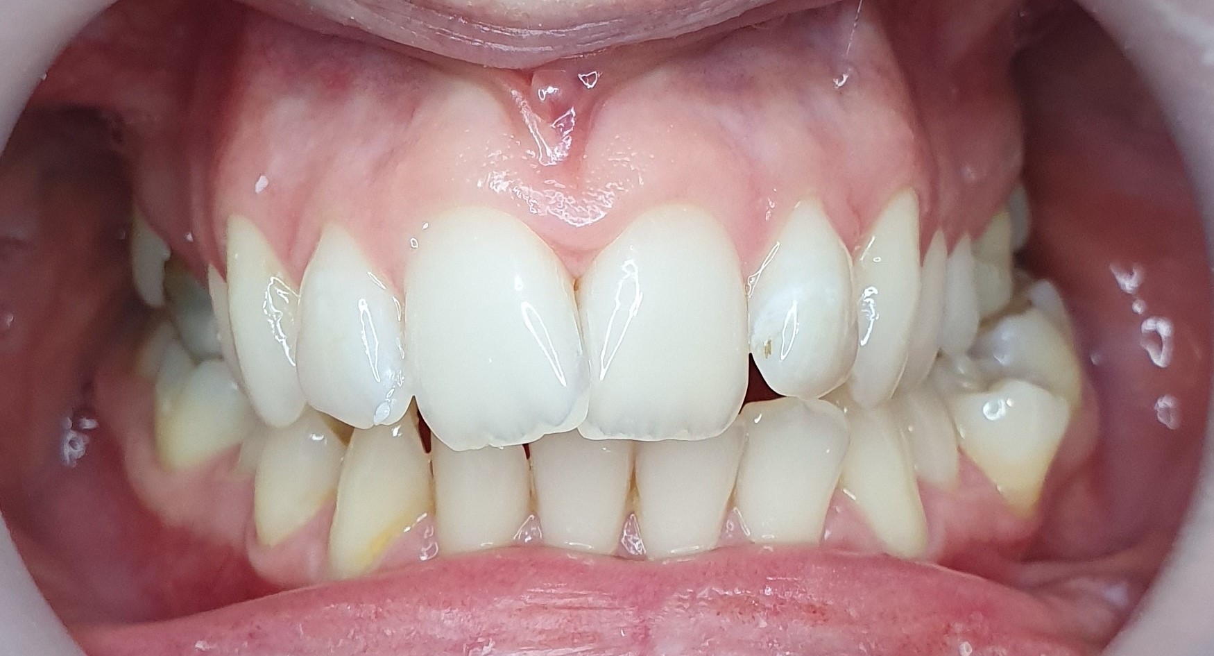
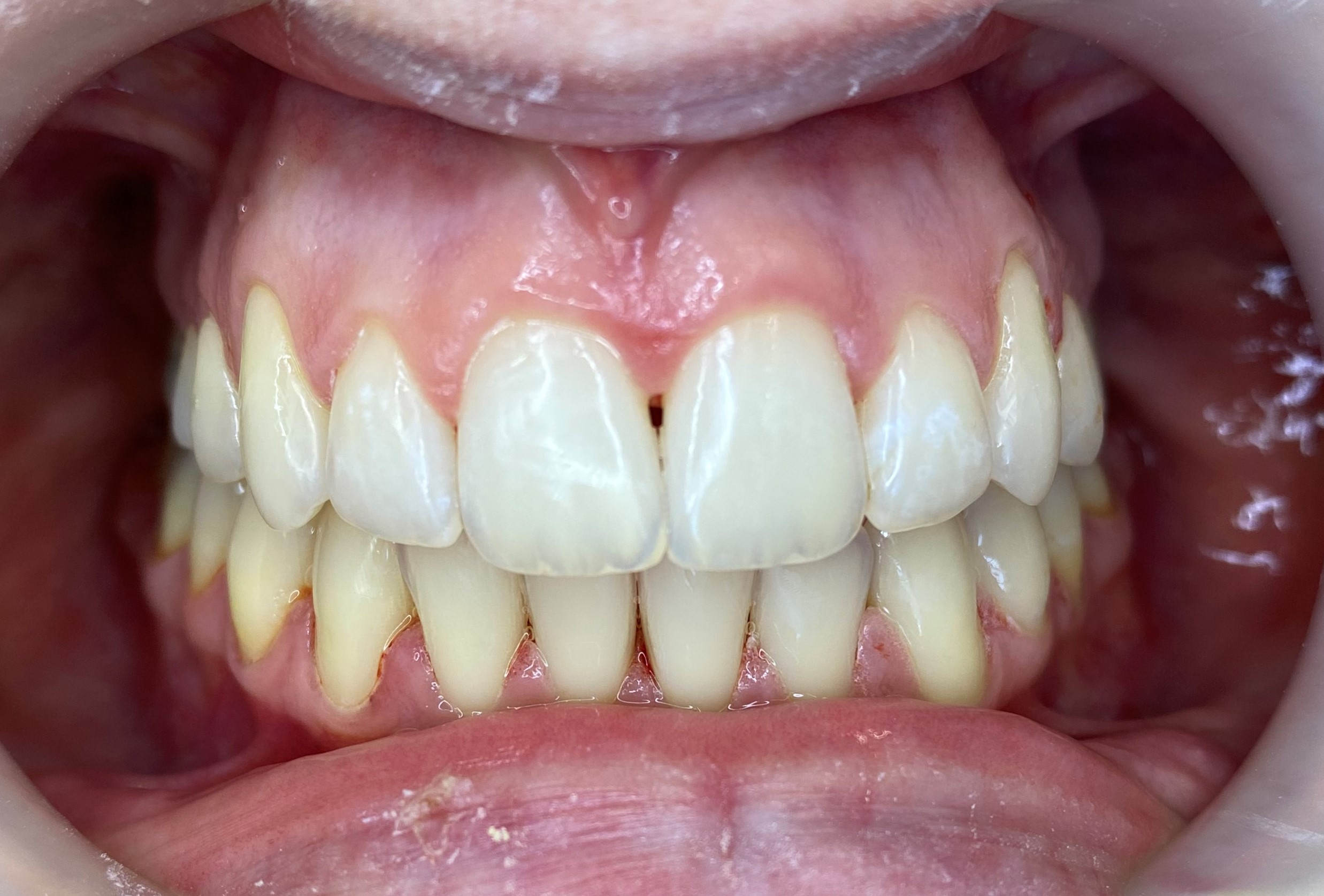
Metamorfozy

Co dla innych jest celem, dla nas jest podstawą.

W trosce o Państwa wygodę stworzyliśmy nowy, innowacyjny i komfortowy obiekt, Przestronne, stylowe wnętrze, oraz dbałość o każdy detal umilą wizyty podczas wszystkich pór roku.

5 przed 5 po
2 przed 2 po
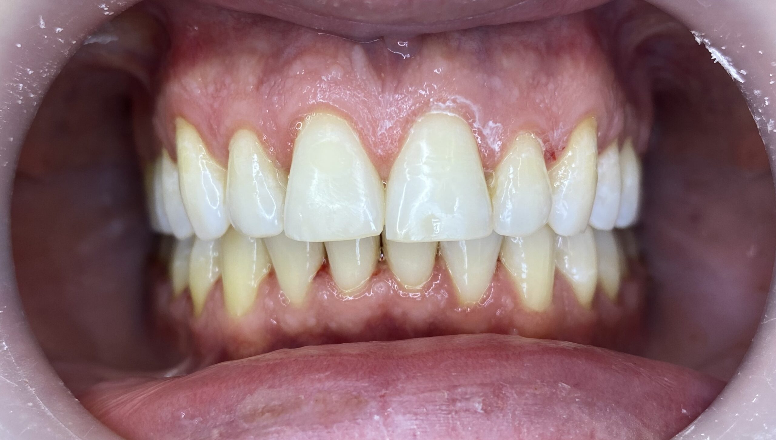
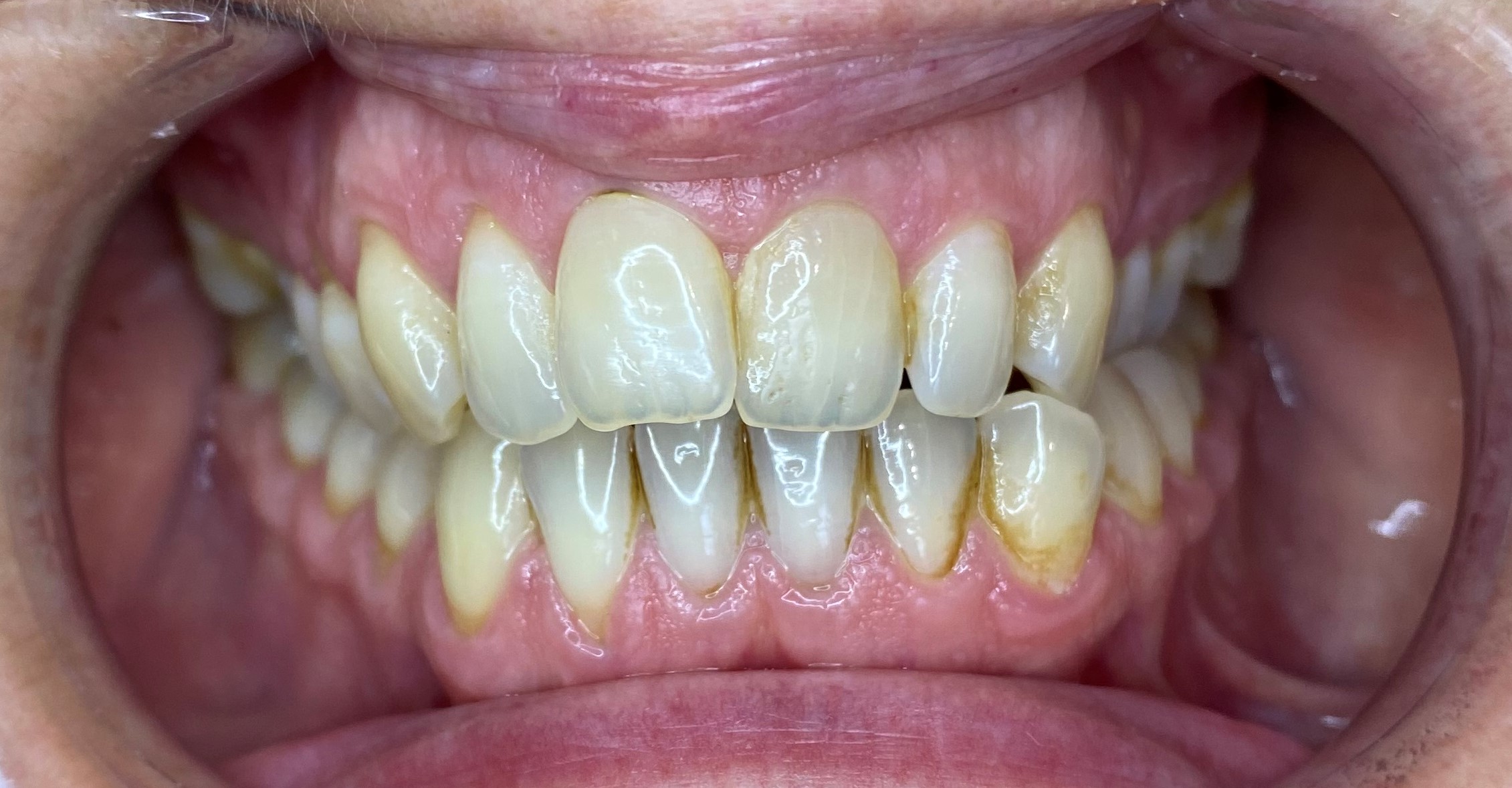
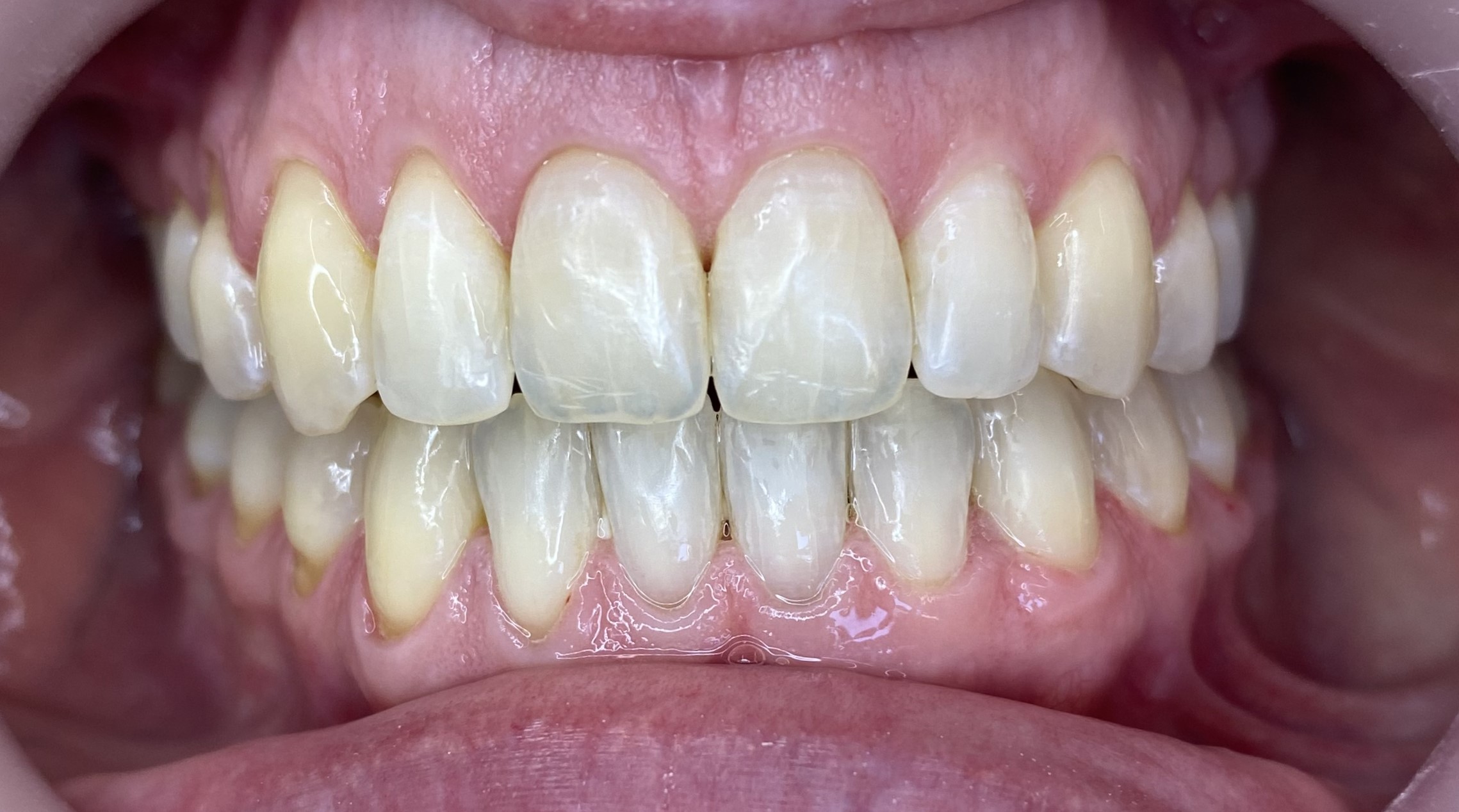
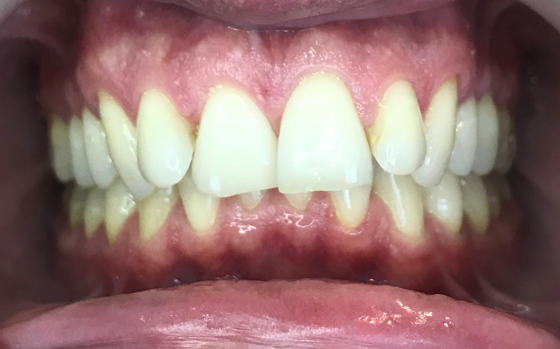
1 przed 1 po
3 przed 3 po
PRYWATNY GABINET STOMATOLOGICZNY KRZYSZTOF GRZELAK
Przegląd prywatności

Ta strona korzysta z ciasteczek, aby zapewnić Ci najlepszą możliwą obsługę. Informacje o ciasteczkach są przechowywane w przeglądarce i wykonują funkcje takie jak rozpoznawanie Cię po powrocie na naszą stronę internetową i pomaganie naszemu zespołowi w zrozumieniu, które sekcje witryny są dla Ciebie najbardziej interesujące i przydatne.